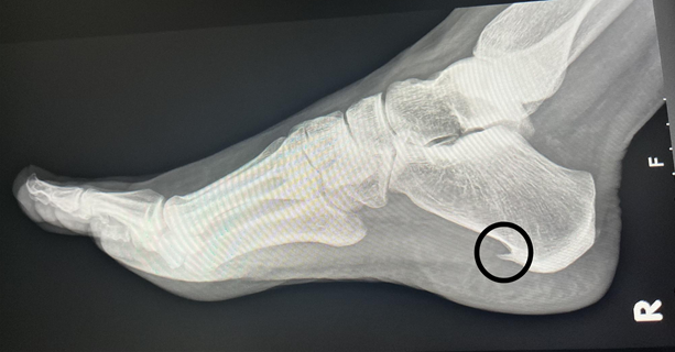
U današnjem članku vam pišemo na temu petnog trna  jedne od najupornijih i najiritantnijih tegoba stopala koja, iako nije opasna po život, može svakodnevnicu pretvoriti u pravi izazov.

Bol je često toliko jaka da i najjednostavniji pokreti, poput ustajanja iz kreveta ili spuštanja niz stepenice, postaju gotovo nepodnošljivi. Iako sam koštani trn ne predstavlja ozbiljnu bolest, upala i iritacija tkiva oko njega stvaraju bol koja narušava kvalitet života.

Najčešće pitanje koje pacijenti postavljaju glasi: „Može li se petni trn ukloniti bez operacije?” Odgovor je jasan – sam trn se može u potpunosti ukloniti jedino operativnim putem. Ali ohrabrujuća vijest je da u većini slučajeva operacija nije potrebna, jer postoji više metoda koje značajno ublažavaju simptome i vraćaju normalnu funkciju stopala. Cilj svake terapije je da se smanji upala, opusti napeto tkivo i rastereti peta. Kada se to postigne, bol s vremenom slabi i često potpuno nestaje.

  • Jedan od najdjelotvornijih načina liječenja su vježbe i istezanja. Redovno istezanje lista i plantarne fascije pomaže da se smanji napetost. Jednostavne vježbe, poput rolanja stopala po maloj loptici, podizanja na prste ili istezanja nožnih prstiju, ublažavaju bol, naročito onaj jutarnji koji mnogi opisuju kao „najgori trenutak dana“.

Kada bol postane intenzivna, protuupalni lijekovi poput ibuprofena mogu donijeti kratkotrajno olakšanje. Ipak, treba znati da oni samo smiruju simptome, a ne rješavaju uzrok problema. Sličan efekat daje i led terapija, odnosno stavljanje hladnih obloga na petu nakon dužeg hodanja ili stajanja. Led smanjuje upalu i trenutno smiruje bol.

Vrlo važan dio terapije je i izbor obuće. Anatomska obuća ili ortopedski ulošci mogu napraviti ogromnu razliku. Mekana, pravilno oblikovana obuća rasterećuje petu, dok ulošci pomažu onima koji i dalje nose klasične cipele. Kod težih slučajeva koriste se i noćne udlage, koje tokom spavanja drže stopalo u pravilnom položaju i sprječavaju skraćivanje fascije. Na taj način ublažava se oštar jutarnji bol koji mnogi pacijenti opisuju kao „udar noža u petu“.

  • Za one kod kojih bol traje duže i ne popušta, dostupne su i savremenije metode. Terapija udarnim valom (Shockwave) poboljšava cirkulaciju i regeneraciju tkiva, a kod izrazito jakih bolova mogu se primijeniti i kortikosteroidne injekcije. One uklanjaju upalu, ali se preporučuju samo u krajnjim slučajevima, jer nisu dugoročno rješenje.

Pored ovih tretmana, postoji niz savjeta koji ubrzavaju oporavak. Smanjenje tjelesne težine kod osoba s viškom kilograma značajno smanjuje pritisak na petu. Sportašima se savjetuje da smanje intenzitet treninga i uvedu pauze, dok onima koji malo hodaju ili rijetko vježbaju pomažu lagane vježbe za jačanje mišića stopala. Takođe, osobe koje zbog posla dugo stoje trebale bi što češće odmarati stopala podignuta na povišenje.

Iako petni trn zna biti iscrpljujući i dugotrajan problem, dobra vijest je da se u većini slučajeva može izliječiti bez operacije. Potrebna je disciplina, malo strpljenja i uvođenje pametnijih navika. Oporavak dolazi postepeno, ali svaki korak bez bola predstavlja pravu pobjedu.

Zato ne odustajte. Njegujte svoja stopala jer ona vas nose kroz život – kroz posao, obaveze, ali i kroz najljepše trenutke: šetnje s porodicom, igre s djecom, putovanja i druženja. Bol ne smije postati prepreka životu koji volite.

Uložite nekoliko minuta dnevno u vježbe, izaberite obuću koja vas čuva i budite uporni. Tijelo ima nevjerovatnu sposobnost oporavka – potrebno je samo da mu pomognete i budete strpljivi. Na kraju, vaša stopala će vam zahvaliti svakim laganim, bezbolnim korakom koji ćete ponovo moći napraviti